Therapieangebote > Digitales Röntgen

Praxisphilosophie
Therapieangebote
Unsere Praxis
Unser Ärzteteam
Stellenangebote



Kontakt / Anmeldung
Terminerinnerung
Notfallnummer
Kooperationspartner
Interessante Links

Digitales Röntgen

Aufgrund einer wesentlich geringeren Strahlenbelastung für unsere Patienten setzen wir ausschließlich digitales Röntgen ein.

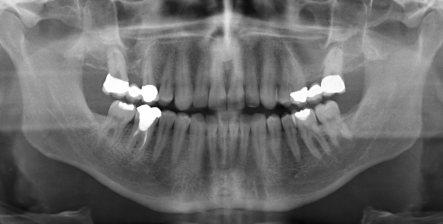
Röntgenbild Durch digitales Röntgen entstandene Bilder sind detailreiche Aufnahmen, die durch ihre einfache Vergrößerungsmöglichkeiten besonders im Vorfeld von kieferchirurgischen Eingriffen Vorteile bietet.

Zudem werden keine Filme oder umweltbelastende Entwicklerchemikalien benötigt und die Röntgenbilder können auf einfache Weise archiviert werden. Digitales Röntgen ermöglicht bei Bedarf einen einfachen Datenaustausch mit Kollegen.

Obwohl die Krankenkassen bisher nur konventionelle Röntgenaufnahmen bezahlen, verlangen wir bei gesetzlich Versicherten keine Zuzahlung hierfür.



[ zurück zu Therapieangebote ]

Zahnarztpraxis Dr. Bauer
Parkhofstr. 10
64646 Heppenheim

[ Anfahrt ]

Mo:   8.00 - 13.00 Uhr
14.30 - 18.30 Uhr

Di:   8.00 - 13.00 Uhr
14.30 - 18.30 Uhr

Mi:   8.00 - 13.00 Uhr
14.30 - 18.30 Uhr

Do:   8.00 - 13.00 Uhr
14.30 - 18.30 Uhr

Fr:   8.00 - 13.00 Uhr

...einfach anrufen unter
Tel. 06252 / 3061
© 2012 Zahnarzt Heppenheim - Praxis für moderne Zahnheilkunde Dr. Bauer
Parkhofstr. 10 - 64646 Heppenheim - Tel. 06252 / 3061
Impressum | Datenschutz